Zahnarzt Dinkelacker und Brendel Logo

Rufen Sie an:  07031-43749-0

  • Home
  • Praxis
    • Team
      • Dr. Brendel
      • Dr. Dinkelacker
      • Dr. Leonard Dinkelacker
      • ZA Steinnagel
    • Praxisauszeichnungen
    • Qualitätsmanagement/ Soziale Verantwortung
    • Unser Qualitätsanspruch
    • News
    • Presse / Links
    • Jobs
  • Leistungen
    • Implantologie
    • Kieferorthopaedie
    • Parodontologie
    • Ästhetik
    • Wurzelbehandlung
    • Füllungstherapie
    • Prophylaxe
    • Sanierung in Narkose
    • Ganzheitliche Zahnheilkunde
  • Behandlungsbeispiele
  • Video
    • Video Dr. Brendel
    • Video Dr. Dinkelacker
  • Perfectsmile-TV
    • Blog-Beiträge
  • Kontakt
Rufen Sie an:  07031-43749-0
    • Home
    • Praxis
      • Team
        • Dr. Brendel
        • Dr. Dinkelacker
        • Dr. Leonard Dinkelacker
        • ZA Steinnagel
      • Praxisauszeichnungen
      • Qualitätsmanagement/ Soziale Verantwortung
      • Unser Qualitätsanspruch
      • News
      • Presse / Links
      • Jobs
    • Leistungen
      • Implantologie
      • Kieferorthopaedie
      • Parodontologie
      • Ästhetik
      • Wurzelbehandlung
      • Füllungstherapie
      • Prophylaxe
      • Sanierung in Narkose
      • Ganzheitliche Zahnheilkunde
    • Behandlungsbeispiele
    • Video
      • Video Dr. Brendel
      • Video Dr. Dinkelacker
    • Perfectsmile-TV
      • Blog-Beiträge
    • Kontakt
  1. Behandlungsbeispiele

Vorher Nachher -
Veneers, Keramikkronen
und weitere.

Veneers Vorher-Nachher


Fallbeispiele: Veneers und Keramikkronen - Vorher / Nachher

Nachfolgend einige Fallbeispiele mit Vorher-Nachher-Bildern von Zahnbehandlungen mit Veneers, Keramikkronen und mehr.
Verschieben Sie den weißen Balken, um die Vorher-Nachher Bilder der Zahnbehandlung zu betrachten:

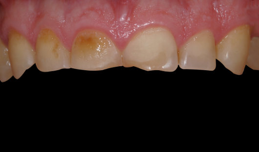
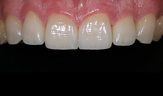
Fall 1 - Veneers


Veneers Vorher Veneers Nachher

Fall 1 - Ästhetische Frontzahnversorgung mit Veneers und Keramikteilkronen


Fall 3 - Veneerversorgung


Veneerversorgung Vorher Veneerversorgung Nachher

Fall 3 - Veneerversorgung von Frontzähnen bei einem Fussballprofi der 1. Bundesliga


Fall 5 - Keramikinlays


Austausch von Gold- in Keramikinlays Vorher Austausch von Gold- in Keramikinlays Nachher

Fall 5 - Austausch von Gold- in Keramikinlays


Fall 7 - Zahnfleischkorrektur


Austausch von Gold- in Keramikinlays Vorher Austausch von Gold- in Keramikinlays Nachher

Fall 7 - Ästhetische Rekonstruktion mit Zahnfleischkorrektur und Keramikteilkronen


Fall 9 - Frontzahnkrone


Zahnfleischkorrektur Vorher Zahnfleischkorrektur Nachher

Fall 9 - Neue ästhetische metallfreie Frontzahnkrone


Fall 11 - Veneerversorgung


Veneerversorgung Vorher Veneerversorgung Nachher

Fall 11 - Zahnbehandlung mit Veneerversorgung


Fall 13 - Frontzahnversorgung


Frontzahnversorgung Vorher Frontzahnversorgung Nachher

Fall 13 - Ästhetische Frontzahnversorgung


Fall 17 - Implantat


Implantat Vorher Implantat Nachher

Fall 17 - Ästhetische Implantatversorgung nach Verlust eines Frontzahnes durch Unfall


Fall 19 - Lückenschluss


Lückenschluss Vorher Lückenschluss Nachher

Fall 19 - Veneerversorgung und Lückenschluss


Fall 21 - Implantat


Lückenschluss Vorher Lückenschluss Nachher

Fall 21- Lückenschluss durch Implantat


Fall 23 - Veneers


Veneers Vorher Veneers Nachher

Fall 23 - Ästhetische Frontzahnversorgung mit Veneers und Keramikteilkronen


Fall 25 - Keramikrestaurationen


Veneers Vorher Veneers Nachher

Fall 25 - Ästhetische Frontzahnversorgung mit metallfreien Keramikrestaurationen bei stark abgenutzten Zähnen


Fall 2 - Neuversorgung Keramikkronen


Neuversorgung Keramikkronen Vorher Neuversorgung Keramikkronen Nachher

Fall 2 - Neuversorgung von gebrochenen alten Keramikkronen


Fall 4 - Neue Kronen


Neue Krone Vorher Neue Krone Nachher

Fall 4 - Ästhetische Rekonstruktion mit neuen Kronen


Fall 6 - Veneersversorgung


Veneersversorgung Vorher Veneersversorgung Nachher

Fall 6 - Zahnbehandlung mit Veneersversorgung


Fall 8 - Frontzahnrekonstruktion


Frontzahnrekonstruktion Vorher Frontzahnrekonstruktion Nachher

Fall 8 - Frontzahnrekonstruktion mit neuen Keramikkronen


Fall 10 - Rekonstruktion Frontzähne


Rekonstruktion Frontzähne Vorher Rekonstruktion Frontzähne Nachher

Fall 10 - Rekonstruktion von zu kurzen Frontzähnen mit Vollkeramik


Fall 12 - Verlängerung Frontzähne


Verlängerung Frontzähne Vorher Verlängerung Frontzähne Nachher

Fall 12 - Rekonstruktion von zu kurzen Frontzähnen mit Vollkeramik


Fall 14 - Frontzahnrekonstruktion


Frontzahnrekonstruktion Vorher Frontzahnrekonstruktion Nachher

Fall 14 - Frontzahnrekonstruktion mit Veneers und Keramikteilkronen


Fall 16 - Deckung Zahnfleischrückgang


Deckung Zahnfleischrückgang Vorher Deckung Zahnfleischrückgang Nachher

Fall 16 - Deckung von Zahnfleischrückgang im Frontzahnbereich


Fall 20 - Parodontosebehandlung


Parodontosebehandlung Vorher Parodontosebehandlung Nachher

Fall 20 - Behandlung einer sehr fortgeschrittenenen Parodontose


Fall 22 - Veneerversorgung


Veneerversorgung Vorher Veneerversorgung Nachher

Fall 22 - Veneerversorgung nach angeborenem fehlenden Zahn und Lückenschluss


Fall 24 - Neue Kronen


Veneerversorgung Vorher Veneerversorgung Nachher

Fall 24 - Alte unschöne Keramikkronen mit sichtbaren Metallränder. Ästhetische Rekonstruktion mit metallfreien Vollkeramikkronen.

you can edit this section directly in HTML ( templates > custom template > html )
Zahnklinik Implantate

IMPLANTATE

Zahnmedizin Ästhetik

ÄSTHETIK

Zahnarzt Vorsorge

VORSORGE

Zahnarzt Zahnerhaltung

ZAHNERHALTUNG

 

Follow us on:

Facebook
Youtube
Perfectsmile.TV

Kontakt

Hinweis: Bitte die mit * gekennzeichneten Felder ausfüllen.

Leistungsspektrum

ImplantologieParodontologie Ästhetik Wurzelbehandlung Füllungstherapie Prophylaxe Sanierung in Narkose

Adresse

Logo der Zahnarztpraxis Dinkelacker und Brendel

Gemeinschaftspraxis und Klinik für Zahnheilkunde Dr. Wolfgang Dinkelacker und Dr. Oliver Brendel


Tilsiter Straße 8   |   71065 Sindelfingen

Telefon: 07031-437490
Telefax:  07031-4374910

info@dinkelacker-brendel.de

www.dinkelacker-brendel.de


Ihr Zahnarzt für Zahngesundheit & Ästhetik im Raum Böblingen, Sindelfingen und Stuttgart.

Auszeichnungen der Gemeinschaftspraxis und Klinik für Zahnheilkunde

CLICKFACTORY SEO & SEA Agentur Stuttgart

Impressum | Sitemap
Datenschutzerklärung
Abmelden | Bearbeiten
  • Nach oben scrollen